
珠海歐美克儀器有限公司
白金會員
已認證

珠海歐美克儀器有限公司
白金會員
已認證
隨著近年來國家環保高壓及綠色發展要求,我國“漆改粉”趨勢加速,粉末涂料在整個涂料體系中所占份額越來越大。根據Global Market Insights,Inc.的報告,到2025年,全球粉末涂料市場預計將超過170億美元。而從全球范圍看,中國粉末涂料產銷量已占全球60%左右,引領著全球粉末涂料發展!
與傳統液態涂料相比,粉末涂料對材料的利用率很高(高達99%),任何過量噴涂都可以回收利用,從而最大限度地減少了浪費;具有更廣泛的顏色選擇和紋理強化了粉末涂料成為液體涂料的有力替代品;粉末涂料具有可持續性、清潔性、安全性等特性,與替代涂料相比,粉末涂料具有優異的性能特征以及顯著的成本優勢,在農業和建筑、電器、汽車和運輸等工業涂飾市場占15%以上并持續增長。
粉末涂料市場一直在發展,而保證粉末涂料質量檢測的科學儀器也在不斷創新發展。我們都知道,涂料顆粒的粒度分布對粉末涂料性能的影響有以下幾大方面:
1、涂料顆粒粒徑影響其帶電性能
粉末涂料噴涂時的粘附力主要來源于靜電荷的庫侖力。涂料顆粒一般來說粒徑越大帶電性越好,但是顆粒的重力隨粒徑加大的增長速度大于庫侖力的增長速度。也就是說顆粒大到一定程度后,重力會遠大于庫侖力,導致上粉率和涂覆效果會變差。故理想狀態下的粉末涂料顆粒粒徑應該盡量控制在10μm-60μm之間。粉末涂料太細或者太粗,涂裝施工效率、質量就會下降。

圖一 不同粒徑涂料帶電性能
2、影響涂料的流平性
粉末涂料吸附在工件上被加熱后形成高粘度的流體狀態,然后逐漸流平固化。通過研究流平時間的NIX和DODGE公式:t=kμR/γ(t是涂料顆粒聚結時間、k是常數、R是涂料顆粒半徑、γ涂料的表面張力、μ涂料粘度),我們可以知道涂料顆粒粒徑跟流平時間成正比。粉末涂料的粒度分布不均勻或者顆粒太粗,將嚴重影響流平性。

圖二 粒度分布均勻的粉末涂料流平效果明顯
3、影響涂層厚度
傳統粉末涂料的平均粒徑一般控制在30μm -50μm,涂層厚度一般在60μm -100μm之間。不同類型的工件需要的涂層厚度不同。同時涂層厚度也在很大程度上影響單位重量的粉末涂料能夠涂覆的面積。因此粉末涂料的粒度分布可以說是直接影響涂料性能及經濟性的重要參數。
4、影響涂料的儲藏性能
根據部分行業專家的研究,粉末涂料存在一個臨界粒徑,大于這個粒徑,粉末不易結塊,反之則很容易結團。涂料產品的粒徑不應該低于臨界粒徑,否則產品的儲藏性將變得很差。

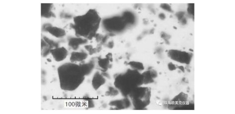
圖三 粉末涂料顯微圖像
從上圖的粉末涂料顯微圖像中我們可以看到其中有為數眾多的小于5微米的“有害”顆粒,這些顆粒既浪費了原材料和能源,又嚴重影響涂料的存藏性能,應該盡量減少其含量。
因此,有效測定粉末顆粒的分布才能保證粉末涂料的高質量應用。激光粒度儀是當前最流行的粒度測試儀器之一,其測試動態范圍大、測試速度快、對使用環境要求不高、重復性好等優勢滿足了涂料行業的測量需求。但隨著粉末涂料的異軍突起,常用的濕法測試由于粉末涂料樣品親水性不好以及添加分散劑后容易產生氣泡等原因,會導致測試結果不穩定,并容易造成結果拖尾。
而干法測試通過空氣作為分散介質,在粒度檢測時對粉末涂料樣品進行干法分散處理,測試時即可以模擬粉末涂料在應用中的狀態,得到的測試結果更好的反應粉體應用。在此基礎上,粉末涂料行業用戶也迫切地要求激光粒度儀具有方便快捷、數據報表呈現靈活等自動化、個性化特點的使用需求。而高性能、簡單易用的全自動干法測試系統,智能多樣化的軟件功能正是LS-909E最顯著的優勢,能為行業用戶帶來行云流水一般的實驗體驗。

歐美克LS-909E干法激光粒度儀正是基于粉末涂料用戶對高性能干法儀器的需求而開發的一款性能卓越的粒度分析儀。
LS-909E干法進樣系統由干法進樣器、全封閉進樣窗口、靜音泵空壓機、油水過濾器和吸塵器等部件構成。在硬件方面,主機裝載了進口的高性能進口He-Ne氣體激光發射器,結合永磁體空間濾波器設計及一體化激光發射器專利技術,保障了LS-909E激光粒度分析儀具有0.1-1400um的較寬測試范圍及重現性小于1%的高分辨率可靠結果。
搭配歐美克DPF-110自動干法進樣系統,樣品池具有三重調節設計:進料速度由先進的壓電陶瓷晶體精確控制,使測試遮光率易于控制并節省樣品量;內置分散壓和負壓傳感器,實時監控測樣狀態,并具有錯誤警示功能;干法窗口采用密閉管道式設計,結合窗口負壓保護設計與大功率吸塵器粉塵回收裝置,最大限度回收樣品,也使主機不受粉塵影響,極大減少了窗口維護及擦拭清潔工作,并提高了窗口玻璃的使用壽命,同時也提升了測試分析速度。以上多種特性共同保障了LS-909E干法測試對多種不同特性樣品的適應性及良好的重現性和真實性。
在軟件設計方面,LS-909E智能軟件控制自動對中系統保證了精確的光學對中和多次測量的重現性。自動對中機構精度達0.2um,速度更快,既可作為自動測量的一部分,亦可在屏幕上單擊鼠標來完成。結合智能判斷對中軟件功能,避免了傳統粒度測量中因對中不良導致的結果偏差,并能延長對中機構壽命。
值得一提的是,LS-909E還配備有完善、開放的樣品參數數據庫,具有200多種常見材料光學參數,用戶也可以自定義材料和折射率,包括折射率實部和虛部(對應樣品的吸收率)。結合簡單易操作的SOP標準操作流程,使分析測試流程標準化,減少人為因素的影響。同時提供多種測試報告模式和高度個性化的自定義功能:可提供通用測試報告、篩分測試報告、百分測試報告,并具有平均報告、統計報告、擬合報告功能,以及可自定義專業測試報告模板功能。測試報告支持pdf、excel、word及其他文本格式等豐富的導出格式,報告圖表可直接右鍵保存。此外用戶還能夠在軟件中同時查看多個測試報告結果,進行數據的圖形比對和數值統計分析,對多個參數進行分類、排序、篩選,并能以表格形式輸出。
其智能、友好、符合多種應用的計算機軟件功能可定義測試報告模板,讓粒度測試分析變得輕松可靠。
歐美克LS-909E的定位是一款高性價比干法激光粒度儀,甫一問世,已在第二十四屆中國國際涂料展上得到了廣大用戶的高度關注和良好反響。粒度測試是一門涉及知識面極為寬廣的技術學科,在每一個行業中都有極深入的應用研究,即使是在粒度檢測行業打拼了二十多年的歐美克人也一直不斷虛心前行,不斷探索更智能化的解決方案、更高效的新技術及更全面的服務推向行業市場,為粉末涂料客戶在現有和新的應用領域提供了顯著的附加值,共同助力粉末涂料行業的創新發展!
最新動態
更多
虛擬號將在 秒后失效
使用微信掃碼撥號